The priority of any dentist is to preserve their patients’ natural teeth. In challenging cases like partial pulpotomy, conservative treatments are often crucial to successfully prevent endodontic treatments and tooth loss. With BioRepair, Komet offers general dentists and endodontists an efficient and easy-to-use solution that effectively supports them in treating these particularly sensitive cases where the preservation of tooth vitality and regeneration properties play a key role.
Before / After


About the Patient
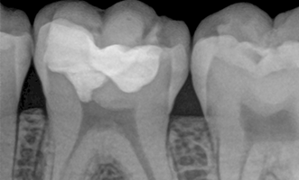
Initially, the patient was treated in a general dental practice where the doctors detected deep secondary caries closely located to the dental nerve of a bottom left molar. Since preserving the vitality of the tooth nerve was top priority, the patient was directly referred to Georg Benjamin’s specialized endodontic practice to undergo treatment.
Dr. Benjamin diagnosed a symptomatic reversible pulpitis and initially performed a cold test to determine whether the dental nerve was still fully vital. As the cold test turned out positive, Dr. Benjamin decided to perform a partial pulpotomy to remove the deep secondary caries and preserve the vitality of the tooth nerve.
Treatment Procedure
Dr. Benjamin started the partial pulpotomy therapy with an anesthesia of the treatment area. He then placed a rubber dam to prevent unwanted moisture from penetrating the treatment area.
Since the infected bottom left molar already contained a filling, Dr. Benjamin removed the old filling material with the help of a diamond bur. After this, he removed the secondary caries by using an EndoTracer, but then switched to a hand instrument to precisely clean the remaining tooth substance.

After complete removal of the secondary caries, a partial pulpotomy of the infected but still viable dental nerve was carried out by creating an access cavity with a bur in order to gain access to the mesial pulp horn. To open the mesial pulp horn, Dr. Benjamin used a new sterile instrument to minimize the risks of infection. This was followed by a millimeter accurate excision of the pulp horn, making sure that the pulp horn is removed evenly to create a levelled surface area for the Komet BioRepair putty filling material that is applied later.

Dr. Benjamin then removed any infected debris from the treatment area by constantly rinsing the pulp horn with sodium hypochlorite for disinfection. To prepare the sealing process, he precisely etched the tooth enamel with an etching gel to ensure that the filling material will hold better.

Dr. Benjamin used Komet BioRepair putty material to cover the treatment area and seal the cavity. To create an optimal bonding effect, he applied a self-adhesive flow to the BioRepair material and sandblasted the whole area.
“In the past, dentists were used to performing more root canal treatments instead of pulpotomies to preserve the vitality of the dental pulp. One reason was certainly that there weren’t as many advanced products on the market. Today, an innovative, easy-to-use product such as BioRepair supports dentists and endodontists to perform pulpotomies efficiently to preserve tooth vitality.”


After selective etching and the composite shaping took place with hand instruments and a small brush. He used tooth colours to create realistic depth of colour and let the filling look like a natural, healthy tooth surface. As a last step, he polished the whole treatment area and performed a bite test. The positive result marked the end of a completely successful treatment.

Having completed the endodontic treatment successfully, Dr. Benjamin was able to preserve his patient’s tooth and prevent tooth loss. Thanks to the BioRepair putty material, the vitality of his patient’s tooth could be preserved, and the application of tooth colours ensured an aesthetically pleasing result.
BioRepair: Seals, Heals and Protects
Endodontics is a field that requires the utmost precision and care – especially when it comes to challenging cases. In this regard, the success of each endodontic treatment also depends on having the most efficient putty material at your disposal. Less effective products can lead to laborious treatments and impair the healing process of the treated area.
Komet's BioRepair is a flexible solution for dentists and endodontists that can be used for almost every patient group. BioRepair is pre-mixed and can be applied easily for a total of 8 indications. Thanks to its special formula it efficiently supports tooth regeneration and preserves vitality.
“There are not that many putty products on the market. Komet BioRepair counts among these few products and has a lot of great benefits: Starting with the practical dispenser that can be used intuitively, over the pre-mixed material, to an efficient adhesive strength and resistance during application. All in all, with Komet BioRepair endodontists and dentists don’t have to bother about anything.”
About Dr. Benjamin, Endodontist
Dr. Georg Benjamin graduated in 2010 after studying at the University of Würzburg, Germany and the University of Umea, Sweden. After graduating, he worked in Berlin and joined an endodontic practice, Endo Berlin Süd. In 2020, he moved to Bayreuth, Germany and started work at the DentalZentrum with Dr. Martin Gollner. Dr. Benjamin is also the co-founded of a dental blog and podcast, Saure Zähne Originals, a digital collection of cases and dental topics.