Lauren Kuhn Nuth, board-certified endodontist, shares case studies where she used Komet products to achieve optimal results.
I present multiple cases below that demonstrate how Komet products play a critical role in efficient and precise root canal treatment.
Case # 1


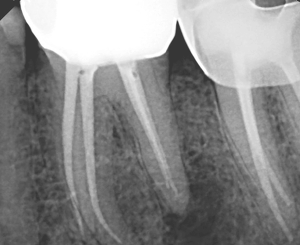
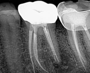
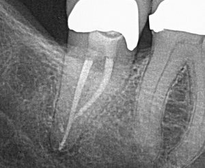
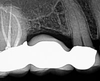
When I see a lateral radiolucency on the furcation side of a mesial root of #19 or #30 (Fig 1: around the junction of the middle and apical 1/3), I highly suspect a middle mesial (MM) canal that exits laterally.
Re-treatment was performed, and the MM canal was identified, instrumented and obturated. The final radiographs show that the lateral lesion corresponds with the MM canal and its lateral exit point (Fig 3 and 4).
Procodile Q™ files were helpful in instrumenting all 5 canals—and for removing gutta percha during the re-treatment of the previously obturated canals—due to their reciprocating motion when they meet resistance!
Case #2


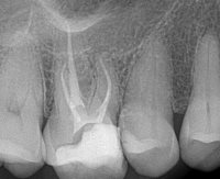
The patient presented with a referral for root canal treatment of tooth #3. Pulp vitality testing indicated that #3 was vital, while #2 was necrotic. CBCT revealed that a large area of low density was associated with #2 and was encroaching on #3, therefore giving the appearance that #3 may also need root canal treatment. The patient and I agreed that incision and drainage, along with root canal treatment of #2, was the best first-line treatment.
Tooth #2 had 4 calcified, necrotic canals. The
EndoPilot and
Procodile Q™ files were instrumental in completing this case safely and efficiently in a single visit. The Ultrasonic attachment on the EndoPilot was critical for accessing the MB2, especially in this area of the mouth where access can be a challenge!
Case # 3

#31 with 2 canals can feel exciting because, as a provider, we imagine it being a “quick” case! We aim for increased patient satisfaction and clinical efficiency. But is a case like this
actually simple and straight-forward?
The apices of mandibular 2nd molars are often in close proximity to the mandibular canal, which houses the inferior alveolar nerve. The
EndoPilot with built-in electronic apex locator was helpful in ensuring that I instrumented this case to the exact working length. As a clinician, I feel this may help lower the risk of post-operative paresthesia.
Case # 4


EndoPilot,
PathGliders, and
Procodile Q™ files were used on all three of these maxillary molars.
The EndoPilot helped me to be efficient and precise when performing these cases that can be very labor-intensive, since all three teeth had four canals. I appreciate that the
EndoPilot has a built-in obturation system and that the heated plugger is controlled by the cordless rheostat—rather than a finger touch—for greater control.
Check out Komet’s full
endodontic portfolio to find your trusty sidekick to completing safe, precise root canal procedures while increasing efficiency.
About Dr. Kuhn

Dr. Lauren Kuhn Nuth is a board-certified endodontist and a graduate of the Harvard School of Dental Medicine (DMD) and Medical University of South Carolina (MSD in Endodontics).
She is passionate about education and teaches part-time at the University of Minnesota School of Dentistry. She has published case-based research in the Southeast Case Research Journal and co-authored literature reviews in Dental Materials and The Journal of Advanced Prosthodontics. In addition, Dr. Kuhn's research on patient motivation was featured in RDH Magazine in 2019.
Aside from her research activities, Dr. Kuhn works as a full-time clinical endodontist. Dr. Kuhn is passionate about community service and enjoys volunteering at dental clinics where low-income families can receive dental care.