The quality of your metal crown-cutting bur matters. Choose Komet to know that you’re using the best option on the market when cutting metal crowns.
Metal crowns have the advantage of being exceptionally strong because they take longer to wear down and very rarely break due to biting or chewing. Metal crowns can be made of stainless steel or a variety of metal alloys that are highly resistant to corrosion. Because of their color, metal crowns are used for molars that are in the back of the mouth.
A common alternative to all-metal crowns are porcelain-fused-to-metal (PFM) crowns. With PFM crowns, patients have the strength of metal with a porcelain overlay that can match the color of their teeth.
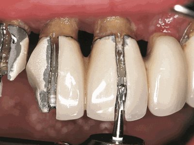
Most of the time, metal crowns must be removed in sections to minimize the chance of breaking the underlying tooth. It’s necessary to choose special metal-cutting burs when completing this procedure to prevent that from happening.
Komet USA offers metal-crown cutting burs to ensure you get the job done effectively.
The H35L bur’s geometry permits the metal crown-cutting bur to cut through non-precious metal and gold with ease. Its slim neck design increases visibility in the patient’s mouth.
The H4MC®L is ideal for cutting PFM and hard-metal crowns. This ingenious metal-cutting bur cuts through ceramic veneering and the underlying metal structure with a single instrument. Special toothing and large chipping spaces make it ideal for metal and ceramics.
*Tip: To take full advantage of the metal crown remover’s abilities, apply the instrument at an angle of 45 degrees.
